Вхід на сайт
Вхід на сайт
Реєстрація
МійВчитель
Початок
Вебінари
Новини сайту
Контакти
Мій+
ТОПи
Математичний турнір
Предмети
Перевірочні роботи
Відправити відгук
Розгорнути
Оновлення
Пошук на сайті
Предмети
Біологія
8 клас НУШ
Опорно-руховий апарат
Види м'язових тканин
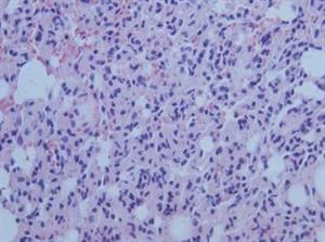
1.
Визначення зображення м'язової тканини
Запитання:
1
Б.
Установи
зображення
м'язової
тканини людини:
Вхід на сайт
або
Реєстрація
Попередня теорія
Повернутись до теми
Наступне завдання
Відправити відгук
Знайшли помилку?
Розкажіть нам!
Ви повинні авторизуватися, щоб відповісти на завдання. Будь ласка, увійдіть в свій профіль на сайті або зареєструйтеся.
Вхід на сайт
або
Реєстрація