Рентгенодіагностика — це дослідження, що здійснюють за допомогою рентгенівських променів, з метою оцінити стан внутрішніх органів та систем.

Рентгерографія (рентген) — це один із методів, що ґрунтується на рентгенодіагностиці, метою якого є отримання зображення об'єкта на спеціальній плівці.


Найчастіше рентгенографію роблять, якщо є підозра на перелом кісток.
Суть дослідження в тому, що рентгенівські промені проходять через тканити тіла. Кістки на плівці матимуть білий колір. Якщо кістка пошкоджена (тріщина чи перелом) на знімку буде помітно "розрив" у білому забарвлені кістки.

Рентгенівські промені шкідливі для організму людини у великій кількості, тому не рекомендують робити знімки часто.
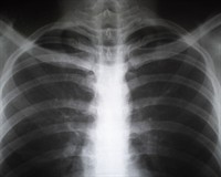
Флюрографія — це рентгенографія легень, яку роблять з метою дослідити стан легень.

Під час флюрографії кістки також відображаються на знімку білим кольором, а повітря чорним. Також на знімку буде видно серце, через його структурні особливості.
Щоб знімок вийшов чітким людині потрібно не дихати під час тих кількох секунд, коли робиться знімок, для цього потрібно зробити глибокий вдих, щоб легені розкрилися та затримати дихання.
За рекомендацією лікарів флюроографію рекомендовано проводити 1 раз на рік усім старше 15 років.