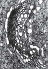
Проаналізуйте опис органели: «На поверхні мікроскопічних канальців цієї органели розташовуються рибосоми, за участі яких синтезуються білки. У її порожнинах білки набувають характерної їм просторової конформації, до них можуть приєднуватися небілкові компоненти».
Продовжте опис органели, укажіть її назву та електронну мікрофотографію.

Органела є: .
 
 ЇЇ назва: .
 
Електронна мікрофотографія:
 
Джерела:
https://testportal.gov.ua/
Ви повинні авторизуватися, щоб відповісти на завдання. Будь ласка, увійдіть в свій профіль на сайті або зареєструйтеся.