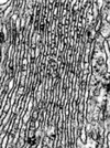
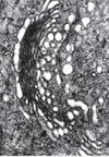
Прочитайте опис органели: «На поверхні мікроскопічних канальців цієї органели розташовуються рибосоми, за участі яких синтезуються білки. У її порожнинах білки набувають характерної їм просторової конформації».
Продовжте опис органели, укажіть її назву й електронну мікрофотографію.
Продовжте опис органели, укажіть її назву й електронну мікрофотографію.
Органела є: .
ЇЇ назва: .
Електронна мікрофотографія:
Джерела:
https://testportal.gov.ua/
Ви повинні авторизуватися, щоб відповісти на завдання. Будь ласка, увійдіть в свій профіль на сайті або зареєструйтеся.