Вхід на сайт
Вхід на сайт
Реєстрація
МійВчитель
Початок
Вебінари
Новини сайту
Контакти
Мій+
ТОПи
Математичний турнір
Предмети
Перевірочні роботи
Відправити відгук
Розгорнути
Оновлення
Пошук на сайті
Предмети
ЗНО/НМТ
Біологія
2024 рік
1 сесія
14.
Завдання 16
Запитання:
1
Б.
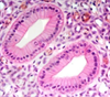
Тканину, яка забезпечує виникнення нервового імпульсу, зображено на світлині
Вхід на сайт
або
Реєстрація
Попереднє завдання
Повернутись до теми
Наступне завдання
Відправити відгук
Знайшли помилку?
Розкажіть нам!
Ви повинні авторизуватися, щоб відповісти на завдання. Будь ласка, увійдіть в свій профіль на сайті або зареєструйтеся.
Вхід на сайт
або
Реєстрація