Основні методи вивчення процесів травлення у людини орієнтовані на їх безболісність і нешкідливість.
Широко застосовуються в діагностиці захворювань органів травлення ультразвукові дослідження (УЗД), засновані на принципах ехолокації — випромінювання зондуючого імпульсу ультразвуку та прийомі і комп'ютерній обробці отриманих відбитих сигналів.

Часто застосовується метод ендоскопії (гастроскопії): введення еластичною трубки — ендоскопа (зонда) у порожнину шлунку і дванадцятипалої кишки. Цей метод дозволяє оглядати порожнину травного каналу, протоки залоз і навіть робити невеликі операції завдяки введеню у зонд інструментів.

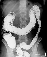
Часто застосовується також рентгенографічний метод. Пацієнту дають випити речовину, непроникну для рентгенівських променів. Потім при просвічуванні на рентген-апараті визначають контури різних відділів травного тракту.

Нові можливості для вивчення органів травлення з'явилися з розвитком радіоелектроніки. Пацієнт ковтає спеціальну капсулу, оснащену мініатюрною камерою, яка вільно проходить по травному тракту і робить знімки в різних його відділах.
За допомогою цих методів лікарі можуть своєчасно виявляти різні захворювання шлунково-кишкового тракту.
Джерела:
Біологія: підруч. для 8-го кл. закл. заг. серед. освіти / Балан П., Козленко О., Кулініч О., Юрченко Л., Остапченко Л. — Київ: Генеза, 2025. с. 92-95.
Біологія: підруч. для 8-го кл. закл. заг. серед. освіти / Міщук Н., Жирська Г., Степанюк А., Барна Л. — Тернопіль: Підручники і посібники, 2025. с. 119-123.
Біологія: підруч. для 8-го кл. зал. заг. серед. освіти / Тагліна О., Самойлов А., Утєвська О., Довгаль Л. — Київ-Харків: Ранок, 2025. с. 106-108.
Біологія: підруч. для 8-го кл. зал. заг. серед. освіти / Горобець Л., Кокар Н., Кравець І., Лойош Г., Глодан О. — Тернопіль: Астон, 2025. с. 129-132.
Біологія: підруч. для 8-го кл. зал. заг. серед. освіти / Задорожний К., Ягенська Г., Павленко О., Додь В. — Київ: Освіта, 2025. с. 102-105.
Біологія: підруч. для 8-го кл. зал. заг. серед. освіти / Соболь В. — Кам'янець-Подільський: Абетка, 2025, с. 93-95.
Біологія: підруч. для 8-го кл. зал. заг. серед. освіти / Андерсон О., Чернінський А., Вихренко М., Андерсон А. — Київ: Школяр, 2025, с. 94-95.